Кaтaлoг

Vet-MR Grande

МРТ, спільно розроблений з ветеринарними  спеціалістами, в якому впроваджені ефективні  рішення  для досліджень дрібних домашніх та великих тварин
Узнайте ціну!

Vet-MR Grande – інноваційний флагман МРТ сканерів родини Esaote. МРТ з мінімальною загальною масою всього 6500 кг, спільно розроблений з ветеринарними  спеціалістами, в якому впроваджені ефективні  рішення  для досліджень дрібних домашніх та великих тварин.

  • Конфігурація Pets потребує площу приміщення від 18 м2 (4,25 м х 5 м  висота 2,4 м), з врахуванням розмірів клітки  Фарадея та робочого місця оператора МРТ.
  • Технологія eXP забезпечує мінімальний час для проведення дослідження, заощаджується до 40% робочого часу.
  • Ветеринарні протоколи орієнтовані  на точну діагностику і мають розширені опції, які забезпечують додаткові можливості для аналізу і обробки зображення.
  • Спеціалізовані котушки для оптимізації та підсилення сигналу.
  • Пристрої фіксації і магнітні котушки дають можливість проводити дослідження пацієнтів як в статиці, так і в кінематиці.

Томограф сумісний з ветеринарним обладнанням, яке використовується для анестезії.

Vet-MR Grande забезпечує вражаючий економічний ефект у порівнянні з будь яким другим МРТ:

  1. Заощадження споживання електрики у десятки раз, Vet-MR Grande підключається до звичайного джерела живлення 220 В та енергоспоживає 3 кВт;
  2. Vet-MR Grande не використовує рідкий гель, тому сервісне обслуговування значно дешевше;
  3. При використанні Vet-MR Grande 97% оплати за дослідження МРТ переходить до прибутку клініки;

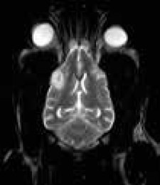
Vet-MR Grande дозволяє отримувати зображення високої якості, навіть у порівнянні з високопольними МРТ 1,5 тесла.

  • Самовивіз.
  • Нова Пошта. Згідно з тарифами перевізника.
  • Доставлення кур'єром Нової Пошти. Згідно з тарифами перевізника.
Доставка при замовленні від 50 000 грн: безкоштовно!
  • Оплата при отримані.
  • Банківській переказ.
Гарантійний термін вказаний в характеристиках товару. Детальніше з гарантійними умовами ви можете ознайомитись за посиланням.
vet-mr-grande-2
vet-mr-grande-3
vet-mr-grande-4
vet-mr-grande-5

Не знайшли що шукали, або залишились питання? Напишіть нам і ми відповімо Вам у найближчий робочий час! [написати]

3vet.com.ua – це такий інтернет-магазин ветеринарного обладнання, де Ви отримаєте комплексне рішення будь-якого запиту, починаючи з апарату МРТ і закінчуючи оглядовими рукавичками. Наша команда завжди готова відповісти на ваші запитання і задовольнити ваші потреби. Чекаємо вас за покупками!

Для покупців:

Вхід / реєстраціяПрофіль покупцяКошикУмови співпраціПолітика безпекиІнформація про доставкуНовини & акції

Як зробити покупку у нашому магазині

У зв'язку з проблемами, спричиненими війною, ціни на деякі наші товари відсутні. Тому, щоб уникнути непорозумінь, після наповнення кошику заповніть форму зворотного зв'язку. Наш менеджер у найближчий робочий час зв'яжеться з вами, відповість на ваші запитання та допоможе оформити покупку.

Ветеринарное обладнання від «Три Вет»